Before and After
See the smiles our residents have created!
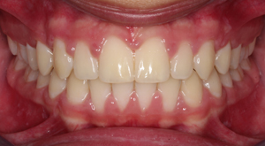
When your smile makes you self-conscious, it shows, and it can affect everything from how you smile in pictures to what you feel when you look in the mirror. The residents and faculty at the UNLV Orthodontic Clinic are creating the smiles of tomorrow and transforming the way patients of all ages see their own smiles with innovative treatment methods. See some of our amazing results below, and schedule a free consultation to see how we can make you smile!
Before | After |
![]() | ![]() |
![]() | ![]() |
![]() | ![]() |
![]() | ![]() |
![]() | ![]() |
![]() | ![]() |
![]() | ![]() |
![]() | ![]() |
![]() | ![]() |

















